
The NS1 series stands as a cutting-edge neuronsurgical navigation system, built with the same technological prowess as our neurosurgical robots. With exceptional performance and intuitive intelligence, it effectively assists in a spectrum of neurosurgical procedures such as resections, intracranial tissue biopsy, minimally invasive surgeries for cerebrovascular diseases, and endoscopic operations. This synergy ensures safer, more precise, and minimally invasive neurosurgery.
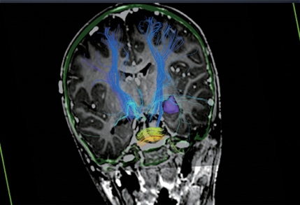
The software seamlessly integrates diverse patient imaging data, presenting a comprehensive, efficient, and precise platform for the formulation and execution of various surgical plans. It assists doctors in making the most accurate decisions. Over the past decade, SinoPlan has continuously upgraded and evolved in close collaboration with the clinical needs.